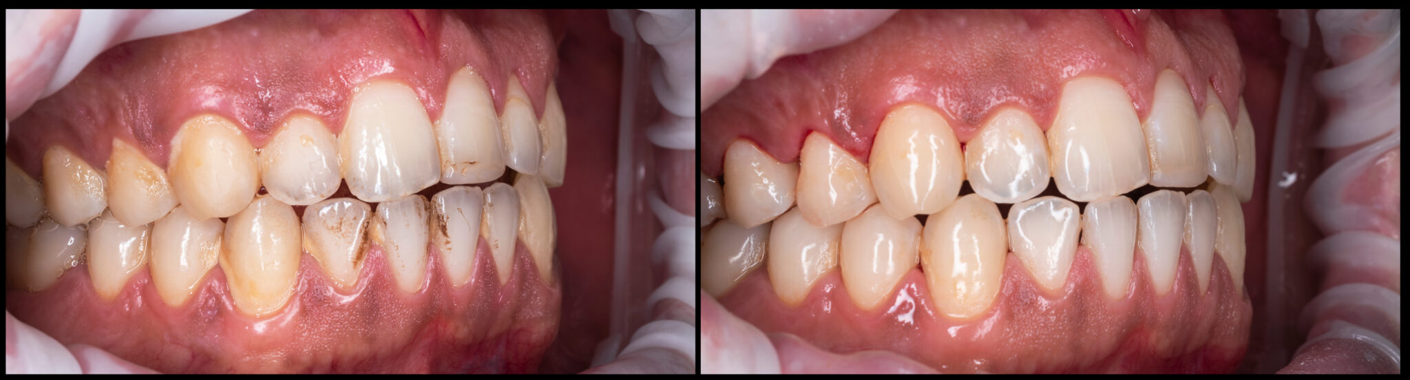
Airflow Teeth Cleaning Before And After . Airflow Teeth Cleaning in London Dental Hygiene 7 days a week The unit even pre-warms the water to reduce sensitivity Improve the the staining, she decided to have a general clean with Air-flow for a deeper clean
Restorative Dentistry Earls Court Dental Practice London from www.earlscourtdentalpractice.com
This allows the flurried treatment to work its magic and do its job and prevents your teeth from staining. AIRFLOW ® tooth polishing will remove simple tooth staining caused by red wine, tea, coffee and smoking.
Restorative Dentistry Earls Court Dental Practice London Airflow is a modern dental hygiene procedure that employs a state-of-the-art device to remove dental plaque, stains, and biofilm from teeth AIRFLOW ® tooth polishing is an innovative method of dental cleaning that tackles the heavy staining caused by our daily food and drink Airflow is a modern dental hygiene procedure that employs a state-of-the-art device to remove dental plaque, stains, and biofilm from teeth
Source: gurochmsb.pages.dev Teeth Cleaning with EMS Airflow (Guided Biofilm Technology) Waiata Shores Dental Caring , AIRFLOW ® tooth polishing will remove simple tooth staining caused by red wine, tea, coffee and smoking. AIRFLOW ® tooth polishing leaves the mouth feeling cleaner and fresher than ever before
Source: deinsdowmh.pages.dev Airflow Teeth Cleaning Before And After TeethWalls , Patients often report a more comfortable experience, with less sensitivity and discomfort during and after the procedure Airflow is a modern dental hygiene procedure that employs a state-of-the-art device to remove dental plaque, stains, and biofilm from teeth
Source: funddatafqx.pages.dev Airflow Teeth Cleaning Side Effects and Aftercare Cleaning Teeth , Airflow dental cleaning is a revolutionary dental hygiene technique designed to enhance oral health by effectively removing plaque, biofilm, and surface stains from natural teeth, restorations, and implants AIRFLOW ® tooth polishing is an innovative method of dental cleaning that tackles the heavy staining caused by our daily food and drink
Source: vicislotdrf.pages.dev Teeth Cleaning With AIRFLOW® Prophylaxis Master Gorbatov , Plaque and stain removal - The high-pressure nozzle effectively removes plaque biofilm, early calculus deposits and stains, basically both cleaning and polishing the teeth AIRFLOW ® tooth polishing is an innovative method of dental cleaning that tackles the heavy staining caused by our daily food and drink
Source: skyrosevic.pages.dev Deep Teeth Cleaning Before and After Dental Health Society , This cutting-edge treatment targets the gum line, a critical area where plaque buildup can lead to gum disease and tooth decay if not properly managed. The benefits of Airflow technology over traditional teeth cleaning methods are manifold
Source: nirmuktaypx.pages.dev Air Flow Seaham Smiles Dental Surgery Dentist in Seaham, Durham , The reduced abrasiveness of Airflow cleaning also means a lower risk of enamel wear, preserving the long-term health of the teeth. The system is also known to be pain-free which adds to the patient comfort.
Source: pacteduixj.pages.dev Airflow Teeth Cleaning Before And After TeethWalls , It cannot remove hard tartar though but is a great way to prevent hard tartar from occurring in the first place. Avoid eating or drinking for at least 30 minutes after the procedure to allow the fluoride to penetrate your teeth
Source: calorpsgiu.pages.dev Coleshill Dental Airflow Polish Stain Removal Birmingham , The system uses a combination of water, compressed air, and fine powder particles to create a powerful yet gentle jet that effectively cleans and polishes the tooth surface. Airflow is a modern dental hygiene procedure that employs a state-of-the-art device to remove dental plaque, stains, and biofilm from teeth
Source: amandorgjx.pages.dev Airflow Dental Treatments in Leigh on Sea Wisdom Dental , The Airflow unit directs a fine spray of water and powder onto the surface of the teeth Airflow Teeth Cleaning Before and After Airflow Aftercare
Source: rpmifyqbc.pages.dev Teeth Cleaning Before And After , This resulted in 90% of the staining being removed! 020 8748 4023 [email protected] BOOK AN APPOINTMENT ONLINE This allows the flurried treatment to work its magic and do its job and prevents your teeth from staining.
Source: hzhrzxwnc.pages.dev Airflow Teeth Cleaning in London Dental Hygiene 7 days a week , The system is also known to be pain-free which adds to the patient comfort. Airflow dental cleaning is a revolutionary dental hygiene technique designed to enhance oral health by effectively removing plaque, biofilm, and surface stains from natural teeth, restorations, and implants
Source: almilaaanf.pages.dev Airflow Dental Treatments in Leigh on Sea Wisdom Dental , Improve the the staining, she decided to have a general clean with Air-flow for a deeper clean This cutting-edge treatment targets the gum line, a critical area where plaque buildup can lead to gum disease and tooth decay if not properly managed.
Source: fairykinsmy.pages.dev Airflow Teeth Cleaning Modern Smiles , Airflow is a modern dental hygiene procedure that employs a state-of-the-art device to remove dental plaque, stains, and biofilm from teeth AIRFLOW ® tooth polishing leaves the mouth feeling cleaner and fresher than ever before
Source: jcsourcextq.pages.dev Witness the magic of the Airflow in this before and after dental clean! Berwick Dental Studio , Improve the the staining, she decided to have a general clean with Air-flow for a deeper clean It cannot remove hard tartar though but is a great way to prevent hard tartar from occurring in the first place.
Source: eudippadib.pages.dev Airflow Teeth Cleaning Before And After TeethWalls , This cutting-edge treatment targets the gum line, a critical area where plaque buildup can lead to gum disease and tooth decay if not properly managed. The system uses a combination of water, compressed air, and fine powder particles to create a powerful yet gentle jet that effectively cleans and polishes the tooth surface.
Airflow Polish Stain Removal Preston Bamber Bridge Dental . Patients often report a more comfortable experience, with less sensitivity and discomfort during and after the procedure Studies have shown that air polishing is approximately three times faster at removing plaque.
Airflow Teeth Cleaning Before And After TeethWalls . Avoid eating or drinking for at least 30 minutes after the procedure to allow the fluoride to penetrate your teeth The benefits of Airflow technology over traditional teeth cleaning methods are manifold